Seu sorriso tratado com conforto, tecnologia e confiança

Cuidar do sorriso não precisa ser desconfortável, apressado ou confuso. Na Orthomay Odontologia Integrada, em Campo Belo – São Paulo, você encontra atendimento humanizado, planejamento individual e tecnologia moderna para tratamentos como alinhadores invisíveis, implantes dentários, clareamento e prevenção.

Como funciona o atendimento na Orthomay

Nosso atendimento é baseado em escuta, diagnóstico preciso e planejamento personalizado, para que cada paciente entenda exatamente o que será feito e se sinta seguro em cada etapa do tratamento.

Aqui, saúde e estética caminham juntas, com respeito ao seu tempo, ao seu bem-estar e às suas escolhas.

📍 Campo Belo – São Paulo

Avaliação cuidadosa e sem pressa

Explicações claras, sem termos complicados

Planejamento individual para cada sorriso

Tecnologia moderna para mais conforto

Tratamentos pensados para durar

Você participa das decisões e sabe exatamente o que esperar antes de começar.

Seu sorriso pode ser o próximo.

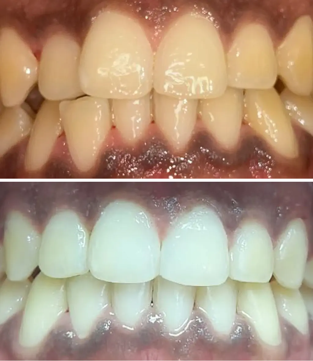
Clareamento Dental Seguro

Dentes mais claros sem prejudicar o esmalte

Clarear os dentes é um dos procedimentos mais procurados e também um dos que mais geram dúvidas.

Existe muito mito sobre clareamento dental. Muita gente acredita que depois do clareamento não se pode tomar café, vinho ou consumir alimentos escuros.

Isso não é verdade.

O clareamento age de dentro para fora do dente, por meio de uma reação química controlada do gel clareador. O que você come mancha apenas a superfície e isso sai com a escovação.

Quando bem indicado e acompanhado por um profissional, o clareamento é seguro, previsível e não enfraquece o esmalte.

Como cada paciente apresenta características diferentes, a avaliação individual é essencial para definir a técnica mais adequada e alcançar um resultado seguro e natural.

Na Orthomay, o clareamento é planejado de forma personalizada, respeitando as particularidades de cada sorriso para garantir segurança e naturalidade no resultado.

Como funciona:

Clareamento caseiro supervisionado, gel com concentração segura para uso diário em casa

Clareamento em consultório, gel de maior potência, feito com acompanhamento profissional

Em muitos casos, os dois métodos podem ser combinados para um resultado melhor, sempre respeitando a sensibilidade de cada paciente

👉 Não existe “receita de bolo”. Cada sorriso exige um plano individual.

Alinhadores Invisíveis

Alinhe seu sorriso com segurança, planejamento e discrição

Muita gente quer corrigir os dentes, mas não quer usar aparelho metálico, sentir dor constante ou mudar a rotina.

Os alinhadores invisíveis permitem tratar o sorriso de forma discreta, confortável e planejada sem comprometer a estética durante o processo.

Mas o que realmente define o sucesso do tratamento não é o alinhador em si.
É o planejamento.

Cada movimentação precisa ser estrategicamente pensada para que o resultado seja funcional, estável e harmonioso.

O tratamento pode ser mais rápido quando:

  • O uso é correto (22 horas por dia)
  • Há resposta biológica adequada
  • O planejamento é bem executado


Antes mesmo de começar, é possível visualizar em 3D como o sorriso está hoje e qual é a projeção do resultado final. Isso traz segurança e previsibilidade.
A tecnologia é importante.

Mas quem resolve o caso é o profissional que sabe planejar cada etapa

Na Orthomay, seu tratamento com alinhadores é planejado de forma individual, com análise criteriosa da sua estrutura óssea, mordida e objetivos estéticos, para que o resultado seja bonito, funcional e estável a longo prazo.

O grande diferencial:

Mais conforto na rotina - Sem fios ou bráquetes, os alinhadores são discretos e removíveis, facilitando a alimentação e higiene.

Acompanhamento mais inteligente - Consultas mais espaçadas (em média a cada 3–4 meses, conforme o caso), com controle digital do progresso.

Planejamento digital em 3D - Antes de começar, você visualiza a simulação do seu sorriso e entende cada etapa do tratamento.

Antes mesmo de iniciar, é possível visualizar como está o sorriso hoje e qual é a proposta do resultado final. Isso traz previsibilidade, segurança e mais tranquilidade para decidir.

O alinhador não é apenas uma placa transparente. O que realmente define o sucesso é o planejamento individual, a sequência correta de movimentos e o acompanhamento profissional.

Na Orthomay, cada caso é estudado de forma personalizada para que o tratamento seja confortável, eficiente e biologicamente seguro.

Limpeza Dentária Profissional

Prevenção que evita problemas maiores

Muita gente acredita que só precisa procurar o dentista quando sente dor.
Mas a maioria dos problemas bucais começa de forma silenciosa com placa acumulada, inflamação gengival e pequenos sinais que passam despercebidos.

A limpeza dentária profissional não é apenas estética.
Ela é um cuidado preventivo que mantém a saúde da gengiva e evita tratamentos mais complexos no futuro.

Na Orthomay, a limpeza é realizada com avaliação criteriosa da saúde periodontal, porque cada paciente pode precisar de um acompanhamento específico.

Ela inclui:

✔ Raspagem com ultrassom
✔ Remoção de placa bacteriana e tártaro
✔ Polimento com pasta profilática, que melhora a lisura da superfície dental e facilita a higienização no dia a dia

Atenção ao sinal mais ignorado: gengiva sangrando não é normal.

Muitos pacientes evitam escovar melhor ou usar fio dental por medo de machucar.
Na verdade, o sangramento é um sinal de inflamação gengival e não deve ser ignorado.

Se a gengiva sangrar, já passou da hora de procurar um profissional.

Na Orthomay, a limpeza faz parte de um plano preventivo individualizado, pensado para manter seu sorriso saudável a longo prazo.

Frequência:

Pacientes com saúde bucal equilibrada: a cada 6 meses

Pacientes com histórico periodontal: pode ser indicado controle a cada 3 meses

Implante Dentário

A melhor opção para reposição de dentes perdidos

Perder um dente vai muito além da estética.
Pode afetar a mastigação, a fala, a segurança ao sorrir e até a estrutura do rosto com o passar do tempo.

O implante dentário é o que chamamos de terceira dentição. Depois do dente natural, é a alternativa mais segura e duradoura para reposição.

Ele é feito em titânio, um material altamente biocompatível com o corpo humano o mesmo utilizado em cirurgias ortopédicas e funciona como uma raiz artificial que sustenta o novo dente com firmeza e estabilidade.

Quando bem indicado e bem planejado, o implante é realizado uma única vez e pode durar muitos anos.

Importante saber: o implante não sofre rejeição, mas precisa de osso saudável para ser instalado com segurança.

Em alguns casos, quando há perda óssea, pode ser necessário realizar um enxerto ósseo.

O enxerto tem a função de devolver estrutura ao osso, criando base adequada para sustentar o implante com estabilidade e segurança a longo prazo.

Por isso, cada caso precisa ser avaliado individualmente.
Nem todo paciente precisa de enxerto, mas quando é indicado, ele faz parte do planejamento para garantir um resultado previsível e duradouro.

Na Orthomay, o implante não é apenas um procedimento.
É um tratamento planejado com critério, exames adequados e acompanhamento especializado para que você volte a sorrir com confiança e segurança.

Tipos de implante:

Implante unitário

Implantes múltiplos

Protocolo fixo com carga imediata

Protocolo fixo com carga imediata é indicado para quem perdeu todos os dentes, usa prótese removível ou possui dentes sem possibilidade de recuperação.

Em casos indicados, é possível realizar a cirurgia, confeccionar a prótese e sair no mesmo dia com dentes fixos com laboratório integrado à clínica e acompanhamento especializado.

Depoimentos

O que dizem nossos pacientes

Mais do que resultados visíveis, entregamos experiências transformadoras. Veja como nossos tratamentos impactaram a vida de quem escolheu a Orthomay.

F.A.Q

Dúvidas Frequentes

O atendimento é doloroso?

Os tratamentos são planejados para reduzir desconfortos e respeitar o limite de cada paciente.

O atendimento é particular, permitindo mais liberdade e qualidade no planejamento.

As informações são passadas diretamente no WhatsApp, de forma clara.

Campo Belo – São Paulo.

Cuidar do seu sorriso pode ser mais leve do que você imagina

Buscar um atendimento acolhedor, bem planejado e moderno muda completamente a experiência odontológica.

Se você quer tratar seu sorriso com conforto, confiança e tranquilidade, estamos prontos para conversar com você.

Nossos Contatos

Copyright © 2025 – Todos os direitos reservados

Popup Form - Orthomay